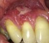
A middle-aged woman presented for evaluation of gingival swelling. She was previously diagnosed with hypoplasminogenemia and current plasminogen level was 29% (reference value: 78–130%). Intraoral examination revealed swelling of the right maxillary gingiva (Figure 1). Biopsy with routine histopathologic analysis revealed fibrinoid deposits and a mixed inflammatory infiltrate within the lamina propria, consistent with hypoplasminogenemia (Figure 2).
Hypoplasminogenemia (type 1 plasminogen deficiency) is commonly associated with ligneous conjunctivitis and ligneous gingivitis.1–3 An oral mucosal biopsy can aid in the diagnosis of this rare condition as histopathologic evidence of fibrin deposition is highly suggestive of hypoplasminogenemia.2,3
Conflicts of interestThe authors declare no conflicts of interest.
The authors thank Dr. Sophia Elmuradi for assistance with clinical photography.






