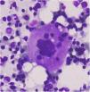
An 11-year-old female presented with fever and thrombocytopenia (Platelet count - 25 × 109/L). Bone marrow smears revealed hyperplasia and emperipolesis in all megakaryocytes containing intact lymphocytes and neutrophils. (Figs. 1 and 2) No etiology was found. The patient was given intravenous immunoglobulin and steroids on presumption of Immune thrombocytopenia, to which she responded well (Platelet count after 4 months -108 × 109/L).
Some emperipolesis may be seen in various disorders, including Immune thrombocytopenia.1,2 Aslan D postulated that, in ITP, emperipolesis contributes to megakaryocyte dysfunction and poor response to therapy.3 This is an unusual case where all megakaryocytes show extreme degree of emperipolesis, yet the patient responded well.
Conflicts of interestThe author declares no conflicts of interest.
										
				





