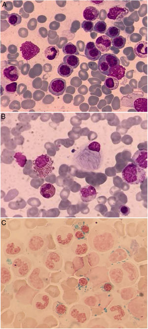
An 81-year-old male was hospitalized for fatigue, pallor and transfusion-dependent anemia. His physical exam was negative for lymphadenopathy or splenomegaly. Tests showed hemoglobin concentration of 8 g/dl, platelet count of 160 × 109/l, WBC of 6.2 × 109/l with the following differential: neutrophils 60%, lymphocytes 20%, monocytes 7%, eosinophils 3%, basophils 1% and a low reticulocyte count of 0.5%RBC. Bone marrow aspirate showed increased cellularity mainly due to the proliferating erythroid lineage that displayed dyserthropoietic features (Figure 1A) with no evidence of blasts excess. Few atypical macrophages showing “Gaucher-like” morphological features were also noted (Figure 1B).
(A) Bone marrow aspirate showing several erythroblasts displaying dyserythropoietic features (May Grunwald Giemsa stain, 1000×). (B) Atypical macrophage showing Gaucher-like cell morphology (May Grunwald Giemsa stain, 1000×). (C) Iron stain of bone marrow aspirate showing numerous ring sideroblasts (Iron stain, 1000×).
Iron stain revealed significantly increased ring sideroblasts which represented 54% of the counted erythroblasts (Figure 1C).
Secondary causes of sideroblastic anemia were ruled out. Additional investigations revealed a normal level of leukocyte β-glucosdiase activity and a positive SF3B1 mutation.
Findings were consistent with a diagnosis of Myelodysplastic syndrome with ring sideroblasts (MDS-RS).
MDS-RS is an MDS characterized by cytopenias, morphological dysplasias and ≥15% marrow ring sideroblasts. In most cases, there is an associated SF3B1 mutation.
Gaucher-like cells have been described in the context of hematologic disorders with high cellular turnover related to malignant proliferation such as chronic myeloid leukemia or multiple myeloma 1–5. They have also been reported in association with some subtypes of Congenital dyserythropoietic anemia 6. Proliferation of the erythroid lineage reflecting an underlying inefficient erythropoiesis represents the common finding with this reported MDS-RS case.
Conflicts of interestThe authors declare no conflicts of interest.





