Hematology Specialist Association 18. National Congress
Mais dadosImmunoglobulin G4 (IgG4)-related disease has been identified in the last 10-15 years, though it was previously known in the literature under different names as an autoimmune disorder. The spectrum of the disease is quite broad. It can present with involvement of a single organ or multiple organs simultaneously, including autoimmune pancreatitis, Mikulicz syndrome, Küttner tumor (chronic sclerosing sialadenitis), sclerosing cholangitis, and retroperitoneal fibrosis. It most commonly occurs in males over the age of 50.
In this case presentation, we will discuss a patient who presented with systemic amyloidosis and was diagnosed with IgG4-related disease.
Case ReportA 36-year-old male patient presented to the hospital with complaints of abdominal pain and constipation. He was evaluated through detailed anamnesis and physical examination. The patient was found to have iron deficiency anemia and elevated acute phase reactants. An abdominal ultrasound revealed a mass in the epigastric region, leading to admission to the gastroenterology department. A CT scan of the abdomen showed a 62 × 55 mm lesion in the epigastric region. A tru-cut biopsy was performed, which was reported as amyloidosis. The biopsy revealed an increase in plasma cells. A PET-CT scan identified hypermetabolic lymph nodes in the celiac trunk region.
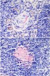
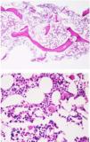
A biopsy taken from these nodes was also reported as amyloidosis, with no evidence of monoclonality. Results showed positivity for CD138, Kappa, Lambda, Congo red, and IgG4, with negativity for HHV8.
Serum IgG level was 3256 mg/dL, albumin was 3.59 g/dL, total protein was 8.59 g/dL, sedimentation rate was 65 mm/h, and elevated levels of free kappa and lambda light chains were detected. The patient developed renal failure and hyperkalemia. A renal biopsy showed positive staining for AA amyloid, and a bone marrow biopsy was subsequently performed. The PET-CT scan did not reveal plasmacytoma or osteolytic lesions. The bone marrow biopsy showed 7-8% staining with CD38 and CD138.
Positive staining was noted for AA amyloid, IgG, and IgG4, particularly in plasma cells. An initial diagnosis of lymphoplasmacytic lymphoma was considered, and excisional biopsies of lymph nodes were planned. The excisional biopsy of the left axillary lymph node was reported as amyloidosis, leading to a referral to the rheumatology department to investigate secondary causes of amyloidosis. IgG subclasses were tested, revealing an IgG4 level of 700 mg/dL. The patient was started on corticosteroid therapy at a dose of 1 mg/kg.
ConclusionIgG4-related disease is a fibro-inflammatory condition that can affect any organ simultaneously or at different times. It is a systemic disease that can involve all organs and often presents with organomegaly, mimicking malignancy. The immunopathogenesis of the disease is not yet fully understood. The most critical step in diagnosis is the histopathological evaluation of the affected organ. Histopathological features distinguishing the disease include dense lymphoplasmacytic infiltrates with predominance of IgG4-positive plasma cells, storiform fibrosis, and obliterative phlebitis.
There are no specific diagnostic tests for IgG4-related disease, making differential diagnosis very important. The first comprehensive diagnostic criteria for IgG4-related disease were established in 2011, and new classification criteria were introduced in 2019. A serum IgG4 level of ≥ 135 mg/dL is significant for diagnosis.
The primary treatment for IgG4-related disease is corticosteroids, which typically respond well to therapy. Most patients show a response to treatment within 4 weeks. With therapy, patients often experience a reduction in symptoms, a decrease in the size of masses in affected organs, improvement in organ function, and a general decline in serum IgG4 levels over several weeks. After the initial response, the dose should be gradually reduced by 5 mg every 2 weeks to maintain remission, ideally for a duration of 3-6 months at the lowest effective dose. However, relapses can occur, and in cases of resistant or recurrent disease, additional treatments such as rituximab and other immunosuppressive agents may be required. These include azathioprine (2 mg/kg/day), mycophenolate mofetil (1-1.5 g/day), and cyclophosphamide (50-100 mg/day). Biological agents such as infliximab, tocilizumab, calcineurin inhibitors, and bortezomib may be used for refractory cases. Studies evaluating the effectiveness of monoclonal agents like abatacept, inebilizumab, and elotuzumab in the treatment of IgG4-related disease are also available. Early diagnosis and appropriate treatment are crucial for controlling the disease and preventing complications.










